Case History:
24 week IUFD in the setting of maternal sepsis.


What is the most likely causative organism?
A. Candida species
B. Cytomegalovirus
C. Listeria monocytogenes
D. Toxoplasmosis
Correct Answer: C. Listeria monocytogenes
Discussion:
This patient was admitted with fever and symptoms of an upper respiratory infection and was found to have nonreassuring fetal heart tones, ultimately progressive to IUFD. She developed sepsis and was treated with antimicrobial agents. Her blood culture was subsequently positive for Listeria monocytogenes.
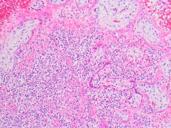
The pattern of inflammation in this placenta is characteristic of placental listeriosis. The pictured H&E stained sections show extensive acute intervillositis with abscess formation, acute necrotizing villitis, and villous necrosis. In many cases of placental listeriosis, there is an accompanying acute chorioamnionitis, which may be quite severe and is often accompanied by bacterial growth in the amnion, although this was not seen in this case.
The differential diagnosis for acute intervillositis includes maternal-fetal sepsis from a variety of other (usually bacterial) organisms. However, in those cases, the acute intervillositis is usually more sparse, usually without abscess formation and villous necrosis, and is more often accompanied by villous agglutination and intervillous fibrin deposition.
Listeria monocytogenes is an intracellular, aerobic and facultative anaerobic, Gram-positive bacterium. Infections are usually traced to foodborne sources of the bacterium, especially dairy products and fresh produce, and may occur in epidemics. The incidence of listeriosis in pregnancy is ~3/100,000 births, with an ~18x increased risk of listeriosis in pregnancy compared to the general population. This is presumed due to tropism of the organism to the placenta and/or altered immune function in pregnancy.
Infections may be mild or subclinical in the mother (~1/3 of infected pregnancy women), or may cause nonspecific flu-like symptoms. Transmission to the placenta may occur via hematogenous route and/or as an ascending infection in patients with gastrointestinal involvement. Listeriosis is unusual among in utero bacterial infections in that transmission to the fetus is common and tends to cause disseminated fetal or congenital neonatal disease. Transmission rates have been reported to be ~96% with a high overall perinatal mortality rate (~50%).
The pattern of acute intervillositis with abscess formation in a placenta should raise suspicion for placental listeriosis and prompt a call to notify the clinician caring for the mother. Per the Centers for Disease Control in the United States, listeriosis is nationally notifiable and verified cases must be reported to local, state, territorial, or federal public health authorities.
References:
Vázquez-Boland JA, Krypotou E, Scortti M. Listeria Placental Infection. mBio. 2017 Jun 27;8(3):e00949-17.
Madjunkov M, Chaudhry S, Ito S. Listeriosis during pregnancy. Arch Gynecol Obstet. 2017 Aug;296(2):143-152.
https://www.cdc.gov/listeria/php/surveillance/listeria-initiative.html (Accessed 4/16/2025)
Case contributed by: Virginia Duncan, M.D., Associate Professor, Women's Health, Perinatal Section Head